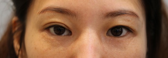
우안 안검하수교정술 > 치료 전/후 증례

본문 바로가기

커뮤니티

치료 전/후 증례

우안 안검하수교정술

2025.03.14

본문

치료 전
치료 후
오른쪽 눈만 안검하수교정술 시행하고 한달경과입니다^^

인천신세계안과
빠른상담

온라인 상담을 위한 정보수집 및 이용동의 인천신세계안과 (이하 “안과”라 함)는 개인정보보호법, 정보통신망 이용촉진 및 정보보호 등에 관한 법률 등 관련 법령상의 개인정보보호 규정을 준수하며, 개인정보 보호에 최선을 다하고 있습니다. 1. 개인정보 수집 및 이용주체 온라인 상담을 통해 제공하신 정보는 “안과”가 직접 접수하고 관리합니다. 2. 동의를 거부할 권리 및 동의 거부에 따른 불이익 신청자는 개인정보제공 등에 관해 동의하지 않을 권리가 있습니다.(이 경우 온라인 상담 신청이 불가능합니다.) 3. 수집하는 개인정보 항목 필수항목: 제목, 분류, 신청자 이름, 휴대전화번호 선택항목: 이메일 주소 4. 수집 및 이용목적 온라인 상담 전달 5. 보유기간 및 이용기간 수집된 정보는 홈페이지 서비스 종료 또는 요청에 의해 삭제되는 시점까지 보관됩니다.